You’ve Worked Hard for Your Spectacular Smile — Let’s Keep It That Way!
Congratulations! You’ve completed your orthodontic treatment and now have a beautifully aligned, healthy smile. But your orthodontic journey doesn’t end here. To maintain your results, you’ll need to wear a retainer to prevent your teeth from shifting over time. Retainers help stabilize your teeth while the surrounding bone, gums, and muscles adjust to their new positions.
We offer a range of retainer options tailored to your specific needs. Here’s what you should know to protect your investment in your smile:
Types of Retainers
1. Removable Hawley Retainers
These are the classic wire-and-acrylic retainers you may recognize from years past. They’re especially useful after Phase 1 treatment in younger patients, as they can be easily adjusted to accommodate erupting permanent teeth. Their benefits include:
- Long-lasting and easier to repair
- Customizable with fun colors and logos
- Adjustable to fit changing mouths


2.Removable Clear Retainers
Often called Invisalign-style retainers or invisible retainers, these are our most popular choice for full-treatment finishes when no more teeth are expected to erupt. Advantages include:
- Nearly invisible for excellent esthetics
- Protective—they shield against wear for patients who clench or grind
- Superior retention—they fully wrap around your teeth for a snug fit
- Relapse correction—if mild tooth shifting has occurred from lack of wear, it can sometimes be reversed with full-time wear
Note: If you’re a heavy grinder, we may recommend a custom night guard for added durability and protection.
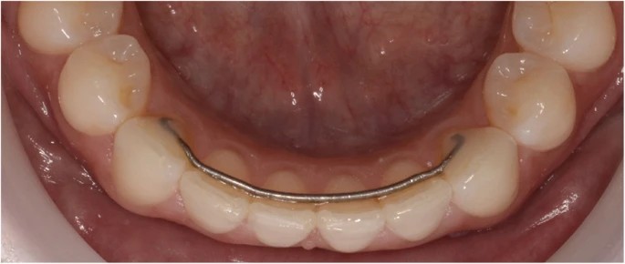
3. Bonded (Permanent) Retainers
These are thin wires discreetly bonded behind the lower front teeth. We frequently use these on the lower arch because:
They stay in place 24/7, so there’s no need to remember to wear them
They offer long-term stability when well-maintained
The main downside? Flossing is a bit trickier—but we’ll show you how to keep them clean.
Bonded retainers are most commonly placed behind the lower front teeth—and there’s a good reason for that. Your lower teeth bite behind your upper teeth, anything bonded behind the upper front teeth is more likely to be dislodged or broken over time by regular biting and chewing forces. In contrast, the backs of your lower front teeth don’t come into contact with upper teeth, making it a much more stable and protected location for a permanent retainer. As a result, bonded retainers on the lower teeth typically last longer and require fewer repairs.

